As DERMATOPATIAS ou doenças de pele são frequentes em nossos pets e podem afetar o bem estar e qualidade de vida destes.
O PRURIDO, ou COCEIRA é um sinal clínico frequente em várias dermatopatias e tem forte impacto na qualidade de vida dos pets e das famílias responsáveis.
Dr. Raniere Gaertner possui Pós Graduação, Mestrado e Doutorado na área de Dermatologia Veterinária e mais de 30 anos de experiência clínica médica veterinária.
Utilizamos métodos diagnósticos especializados, atualizados e tratamentos individualizados seguindo os últimos guidelines da área. Estamos em constante atualização participando ativamente de Simpósios e Congressos nacionais e internacionais.
Em 1992, o Dr. Raniere Gaertner iniciou sua jornada como médico veterinário em Presidente Getúlio (SC). Em janeiro de 1996, mudou-se para Balneário Camboriú (SC), onde passou a atuar exclusivamente na clínica e cirurgia de pequenos animais, na Pet Center Clínica Veterinária. A partir de 2010, seu foco passou a ser o atendimento especializado em Dermatologia e Alergologia Veterinária, somando mais de 30 anos de atuação na Medicina Veterinária e 16 anos dedicados à dermatologia de animais de companhia.
ÁREAS DE ATENDIMENTO
Dermatologia veterinária
Abrange o diagnóstico e tratamento das dermatopatias ou doenças da pele dos animais.
Alergologia veterinária
Área dedicada ao diagnóstico e tratamento das doenças alérgicas e do sistema imunológico dos animais,
Otologia veterinária
Cuida das doenças das orelhas e sistema auditivo dos animais, buscando o diagnóstico e tratamento.
Clínica veterinária
O exercício da clínica veterinária busca através do diagnóstico e tratamento restabelecer a saúde e bem estar dos animais.
Clínica cirúrgica veterinária
Tem como objetivo a cura e manutenção da saúde e bem estar dos animais através de procedimentos cirúrgicos
Medicina veterinária preventiva
Através de procedimentos profiláticos como vacinas, antiparasitário, nutracêuticos busca manter a saúde e qualidade de vida dos animais.
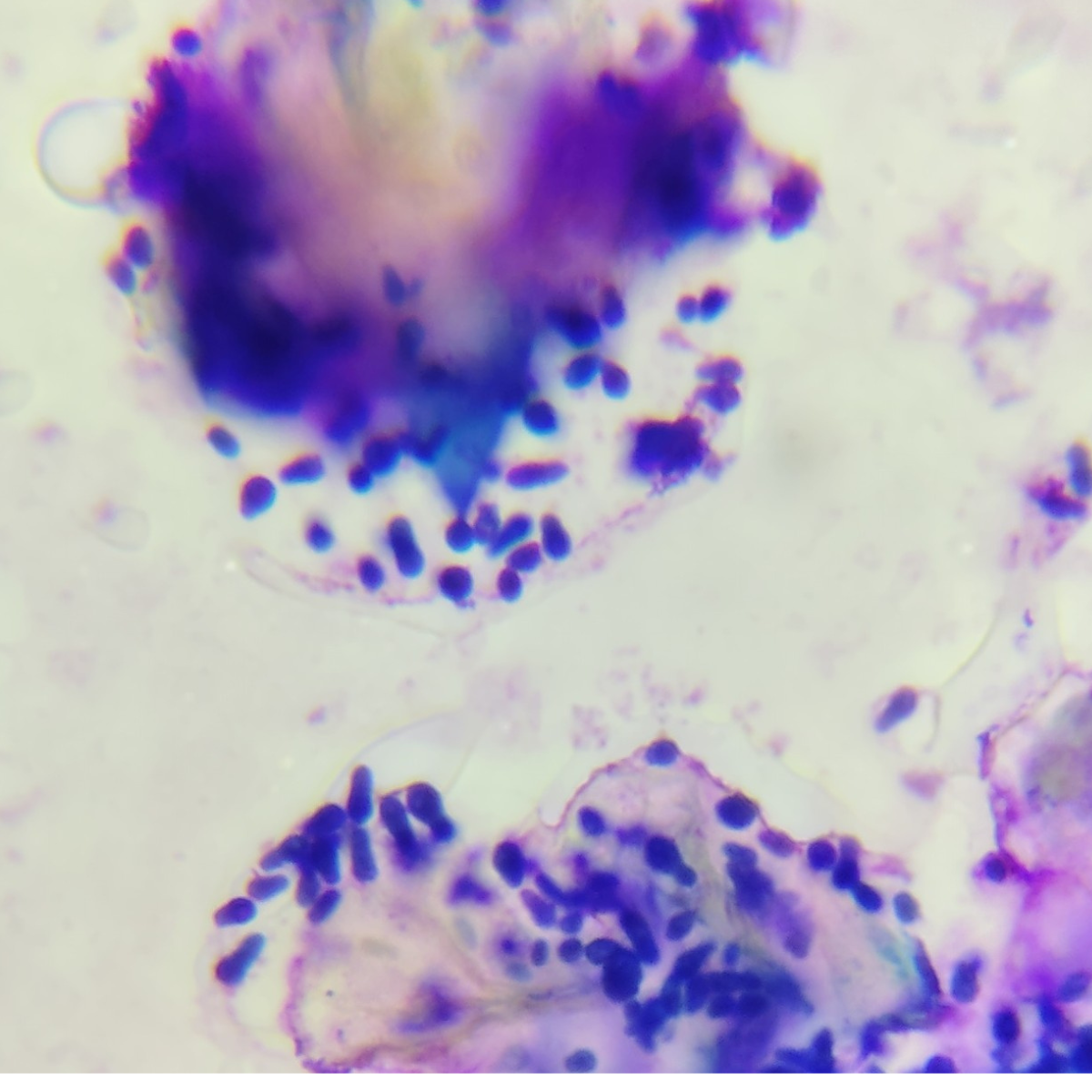
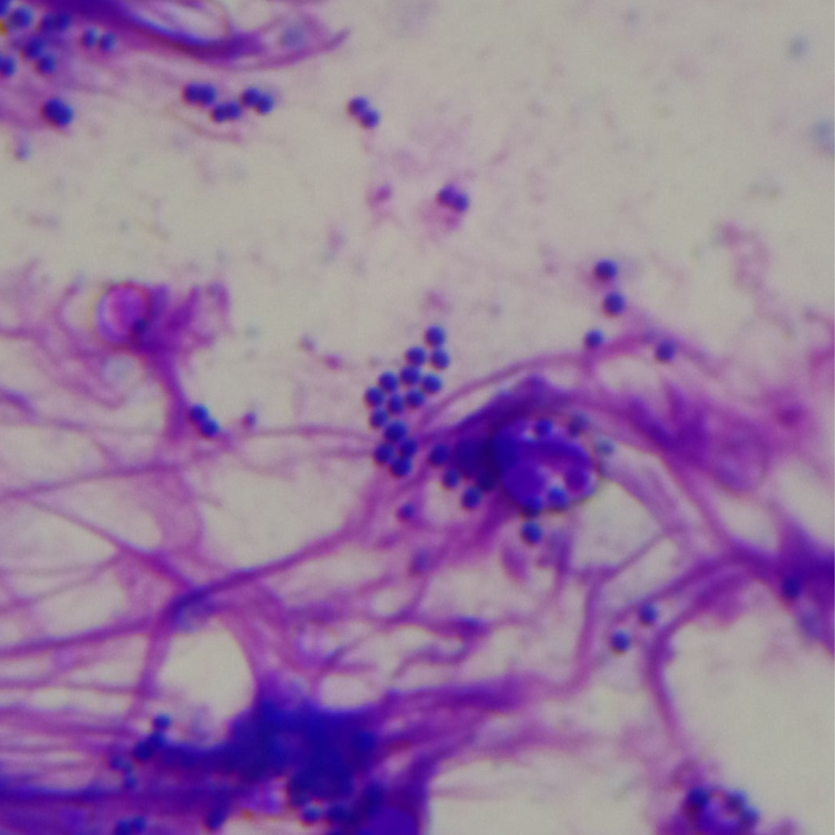
Realizamos na própria clinica, uma série de serviços e procedimentos que agilizam o diagnóstico e permitem um tratamento mais acertivo e eficaz nas dermatopatias.
Exemplos de exames e procedimentos realizados:
- Citologia
- Raspado de pele
- Tricograma
- Testes alérgicos (prick test e patch test)
- Exame com fita de acetato
- Otoscopia
- Criocirurgia
- Microagulhamento
ÁREAS DE DOCÊNCIA NA GRADUAÇÃO
ANATOMIA VETERINÁRIA I
Estudo dos planos anatómicos, termo de posição e direção, osteologia geral, esqueleto axial, esqueleto apendicular, articulações, miologia, sistema linfático, sistema cardiocirculatório e tegumento comum.
ANATOMIA VETERINÁRIA II
Área dedicada ao estudo das cavidades corpóreas e suas serosas, sistema respiratório, sistema digestório, sistema genito-urinário, órgãos da audição, órgãos da visão, sistema endócrino, sistema nervoso.
SEMIOLOGIA VETERINÁRIA
Estuda os métodos de exame clínico, pesquisa e interpreta os sintomas com objetivo de diagnóstico, prognóstico e tratamento
TÓPICOS ESPECIAIS EM DERMATOLOGIA DE ANIMAIS DE COMPANHIA
Enfoque nas atualizações em diagnóstico, tratamento e controle das dermatopatias dos animais de companhia.
CURSOS DE DERMATOLOGIA VETERINÁRIA PARA PROFISSIONAIS E ACADÊMICOS
EXCELENTE Com base em 200 avaliações Publicado em Daniel ConradiTrustindex verifica se a fonte original da avaliação é Google. Publicado em Dom SushiTrustindex verifica se a fonte original da avaliação é Google. Atendimento impecável pessoas cuidadosas todos os profissionais nos deram muita atenção, além da agilidade e segurança que transmitiram! Parabéns 😍🫶🏻Publicado em Marco Antonio SilvaTrustindex verifica se a fonte original da avaliação é Google. Publicado em Luan SantosTrustindex verifica se a fonte original da avaliação é Google. Ótimo atendimento. ShowPublicado em Alessandra VieiraTrustindex verifica se a fonte original da avaliação é Google. Dr Ranieri é uma pessoa para nós referência para levar nossos pets, atencioso, gentil, honesto e acima de tudo humilde.Publicado em Marcello MacedoTrustindex verifica se a fonte original da avaliação é Google. Publicado em Bruno KroehnTrustindex verifica se a fonte original da avaliação é Google. Excelente atendimento, Dr. Raniei é uma excelente pessoa e um excelente profissional.Publicado em Roberto KrugerTrustindex verifica se a fonte original da avaliação é Google.